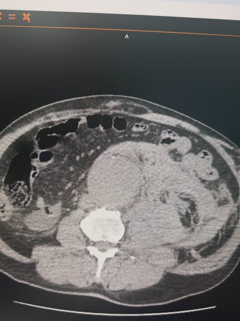
У судинному центрі Черкаської обласної лікарні успішно проведено лікування пацієнта з розривом аневризми черевної аорти. Повідомив у Фейсбуці судинний хірург Артем Губенко.
Розрив аневризми – один з найнебезпечніших ургентних станів у судинній хірургії. Це ситуація, де рахунок іде на хвилини, а кожне рішення має критичне значення.
Завдяки злагодженій роботі команди, швидкій діагностиці та своєчасному хірургічному втручанню вдалося не лише врятувати життя, а й досягти повного відновлення пацієнта.

“Це результат досвіду, холодної голови в екстремальних умовах і командної роботи, де кожен знає свою роль. Найцінніше — бачити, як пацієнт повертається до життя” – зазначив Артем Губенко.
